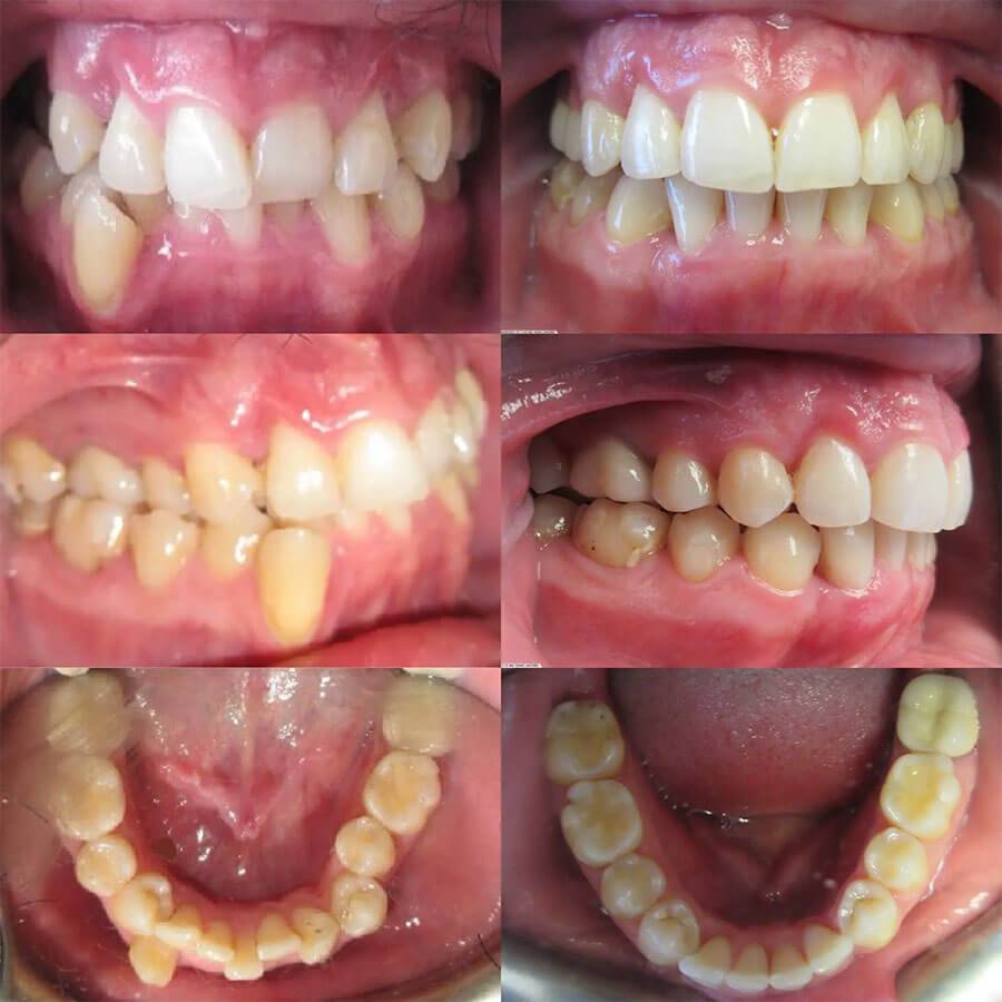
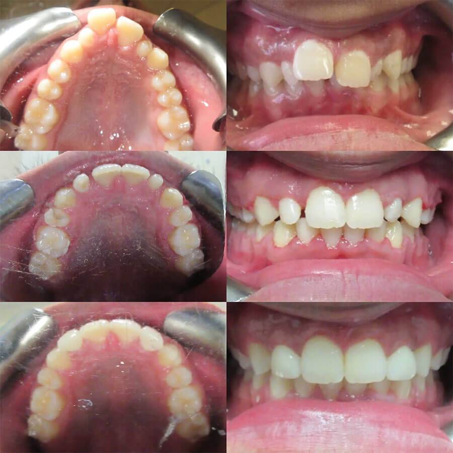
Before and After
Incredible results and inspiring journeys; see some of our patients' before and after photos next time you visit our practice.
Severe underbite treated surgically for facial improvement

Underbite and crossbites treated without surgery, only one tooth removed and great rubberband compliance

4 Premolar Extractions to finish with ideal incisor angles

Invisalign with Four Canines Extracted

No Extractions, closed previously missing tooth space

Phase 1 to make space for blocked out incisor

Peg Lateral (Small incisors) Buildups after Braces

Deep bite resolved with improved lower teeth display

Deepbite Crossbite Overbite Crowding resolved without extractions

Underbite in front resolved with proper canine eruption and midline correction

Uprighting Impacted Molars

Phase 1 to derotate incisor for improved self esteem and improved natural eruption of adjacent teeth

4 premolar extractions to straighten while maintaining healthy angulation of incisors
